Schmerzen im oberen Sprunggelenk können viele Ursachen haben
Das obere Sprunggelenk ist ein Scharniergelenk. Die beiden Unterschenkelknochen (Wadenbein, Schienenbein) bilden eine Gabel in der sich das Sprungbein als Rolle bewegt. Zur Sicherung der freien Beweglichkeit ist die Gelenkkapsel vorne und hinten weit und dünn. Die Stabilisierung erfolgt über den Innen-, und Außenbandkomplex sowie mehrere große Sehnen. Das Deltaband zieht vom Schienenbein zu mehreren Fußknochen. Der äußere Bandapparat besteht aus drei Bändern die von der Wadenbeinspitze bis zum Sprung- und Fersenbein ziehen.
Die hohe Last und die gute Beweglichkeit sind mit Ursache für die Vielzahl an Verletzungen dieses Gelenkes bei Sport oder Freizeitaktivitäten. Die häufigste Verletzungsart ist das sog. Distorsionstrauma (Verdrehtrauma). Hierbei kann es zu einer Schädigung aller Strukturen (Knochen, Knorpel, Bänder) des Gelenkes kommen. Die akute Therapie der Verletzungen erfolgt durch abschwellende Maßnahmen, Schmerzstillung und eine temporäre Stabilisierung mit einer Schiene oder Bandage. Eine Besserung des Befundes sollte in den ersten Tagen bis Wochen eintreten.
Häufig klagen Patienten auch Monate oder Jahre nach Bänderdehnungen oder Bänderrissen über Schmerzen und/oder ein Instabilitätsgefühl im oberen Sprunggelenk. In einigen Fällen können die Schmerzen auch ohne ein vorangegangenes Trauma auftreten. Durch eine differenzierte klinische Untersuchung sowie eine ausgewählte bildgebende Diagnostik kann die Ursache vom Spezialisten in der Regel schnell gefunden werden.

Abb.1: a Oberes Sprunggelenk von vorne. b und von der Außenseite.
Grundsätzlich sollte bei jeder der folgenden Erkrankungen eine intensive konservative Therapie durchgeführt werden. Besteht keine Aussicht auf eine Besserung der Beschwerden bei gleichzeitig eingeschränkter Lebensqualität stehen bei fast allen Krankheitsbildern operative Möglichkeiten zur Verbesserung der Situation zur Verfügung.
Bei chronischen Instabilitäten im OSG (Oberes Sprunggelenk) ist die anatomische Rekonstruktion des Bandapparats angestrebt. Dank moderner Operationssysteme ist ein minimalinvasives Vorgehen möglich. Ist die Qualität des verbliebenen Bandmaterials sehr schlecht kann ein freies Sehnentransplantat für die Rekonstruktion verwendet werden.
Bei Schmerzen auf Grund von Narbenbildungen und Einklemmungen von Gelenkkapsel und Schleimhaut (meniskoides Syndrom, Impingement) ist die Gelenkspiegelung die Therapie der Wahl. Ein minimalinvasives Verfahren bei dem durch zwei kleine Schnitte (kleiner 1cm) nahezu das ganze Gelenk eingesehen werden kann. Während der Spiegelung wird mit speziell geformten Feininstrumenten das krankhaft veränderte Gewebe entfernt und die Einklemmung beseitigt.

Abb.2: a Eingeklemmtes Narbengewebe im Gelenkspalt. b Freie Einsicht in den Gelenkspalt nach Entfernung des Narbengewebes.
Bei isolierten Knorpel/Knochen Verletzungen (Osteochondrale Läsion, Osteochondrosis dissecans) kann während einer Gelenkspiegelung eine vitalisierende Anbohrung des Knochens erfolgen. Besteht bereits ein ausgeprägter Knorpelschaden wird mit einem speziellen Instrumentarium die harte Knochenschicht durchbrochen und die Bildung von Ersatzknorpel angeregt (Mikrofrakturierung). Der freie Gelenkkörper wird vorher entfernt. Dauerhaft schmerzhafte umschriebene Knorpelläsionen können durch die Verpflanzung eines Knorpel-Knochen-Zylinder (Mosaikplastik, Knorpel-Knochen-Zylinder Transplantation) therapiert werden. Aus einem gesunden nicht belasteten Gelenkanteil wird ein Knorpel-Knochen Zylinder entnommen und in der sog. „Press fit“ Technik am Sprungbein eingesetzt. Ein anderes Verfahren, die sog. MACT eignet sich zur Therapie großer Defektzonen. Bei der MACT (Matrix gekoppelte Autologe Chondrozyten Transplantation) wird Knorpel entnommen und an ein Speziallabor geschickt. Die entscheidenden Zellen werden isoliert, vermehrt und in einer Zweitoperation auf den Knorpeldefekt aufgebracht.

Abb.3: a Gelenkspiegelung mit freiem Gelenkkörper im oberen Sprunggelenk (OSG). b Mikrofrakturierung eines Knorpelulcus am Sprungbein.

Abb.4: a MRT (Kernspintomografie) vor der Mikrofrakturierung mit Knorpel-Knochen Schaden (Pfeil). b 8 Monate nach erfolgter Therapie mit revitalisiertem Gewebe (Pfeil).
Auch bei der beginnenden Arthrose des oberen Sprunggelenkes kann gelenkerhaltend therapiert werden. Bei der sog. Gelenktoilette werden während der Gelenkspiegelung schmerzhafte Knochenvorsprünge beseitigt und der geschädigte Knorpel geglättet.
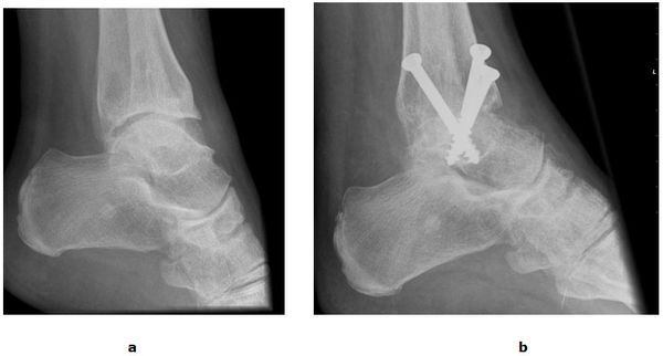
Die fortgeschrittene Arthrose des oberen Sprunggelenkes kann sehr schmerzhaft sein und die normale Fortbewegung stark beeinträchtigen. Die Versteifung des Gelenkes (Arthrodese) war Jahrzehnte lang die Therapiemethode der Wahl. Trotz einer Verbesserung der Schmerzsituation berichten Patienten über Probleme bei der Mobilisation. Hierunter fallen Schwierigkeiten beim Treppen steigen und beim aufstehen vom Stuhl. Im Laufe der Zeit können Schmerzen in überlasteten Nachbargelenken auftreten (Anschlussarthrosen) und das ohnehin hölzerne Gangbild weiter verschlechtern. Weitere Nachteile liegen in dem hohen Infektionsrisiko, der langen Rekonvaleszenzzeit (3 Monate Gips) und dem hohen Risiko einer Falschgelenkbildung (Pseudarthrose).

Abb.5: a Arthrose mit kontrakter Spitzfußstellung des oberen Sprunggelenkes. b Korrigierende Fusion mit drei Schrauben.
Die rekonstruktive Versorgung mit einer Sprunggelenksendoprothese ermöglicht dem Patienten im Vergleich zur Fusion eine wesentlich schnellere Mobilisierung mit Erhalt der Abrollvorgänge. 6 Wochen nach dem operativen Eingriff ist in der Regel das Laufen ohne Gips mit voller Belastung erlaubt. Dennoch eignet sich nicht jedes Gelenk für eine Endoprothese. In Fällen von hochgradigen Bandinstabilitäten oder erheblichen Knochenverformungen ist weiterhin die Fusion die Therapie der Wahl.

Abb.6: Zementfreie Dreikomponenten Sprunggelenkendoprothese. Bewegungsumfang nach Einbau der Endoprothese, gemessen im Röntgenbild
Das von uns verwendete Implantat ist charakterisiert als zementfreie, duale Titan-Hydroxylapatit beschichtete, nach dem mobile-bearing Prinzip konzipierte, totale Endoprothese des oberen Sprunggelenkes, bestehend aus drei Komponenten mit anatomischen Design.

Abb.7: Darstellung der 3 Komponenten mit Einbau im Kunstknochen
Häufig gestellte Fragen:
Wie lange hält eine Sprunggelenksprothese?
Aktuelle Studien konnten zeigen dass nach 10 Jahren 80 – 90% der modernen Sprunggelenksendoprothesen (3 Komponentensysteme) noch intakt sind.
Wie lange bin ich nach einer OSG Prothese oder einer Fusion des Sprunggelenks im Krankenhaus?
Der Aufenthalt beträgt 5 – 10 Tage und ist abhängig von der Wundheilung und Mobilisation.
Wie lange bin ich nach einer Spiegelung (Arthroskopie) des oberen Sprunggelenks krank geschrieben?
Die Arbeitsunfähigkeit ist immer vom ausgeübten Beruf abhängig. Bei sitzenden Tätigkeiten ist mit einer Arbeitsunfähigkeit von weniger als eine Woche zu rechnen.

